HOME > 診療科・部門のご案内 > 診療科・センター > 放射線治療科
・放射線を当てたところに効果を発揮します。
・臓器の機能や形態を残すことができます。
・がんの骨転移による痛みを和らげる治療や出血を止める治療にも用いられます。
・高齢者でも負担が少なく、根治をめざした体に優しい治療ができます。
・また、ケロイドや甲状腺眼症といった良性の病気にも適応があります。
当院では、より正確で体への負担が少ない治療を実現するために、令和7年9月よりアキュレイ社製 Radixact(ラディザクト)の稼働を開始しました。
Radixactはトモセラピー技術をベースに進化させた放射線治療装置です。この装置は、高精度なIMRT(強度変調放射線治療)を広範囲かつ効率的に行うために設計されています。従来の治療装置では困難であった、複雑な形状や広範な病巣に対しても、極めて均一で精度の高い治療が可能になりました。
Radixactは、治療台(カウチ)がゆっくりと移動する間に、放射線発生装置が患者さんの周囲を360度回転しながら、らせん状(ヘリカル)に連続して放射線を照射します。従来の多方向からの照射に加え、全方向からのアプローチが可能になることで、腫瘍に線量を集中させ、周囲の正常臓器への線量(被ばく)を効果的に低減させることができます。
Radixactは、治療装置自体にCTの撮影機能(ClearRT TM)が内蔵されています。治療直前に体内のCT画像を撮影し、治療計画時のCT画像(設計図)と重ね合わせる(レジストレーション)ことで、腫瘍の位置のズレをミリ単位で特定します。このズレを治療直前に治療台の移動などで正確に補正(アライメント)してから照射を開始します。これにより、体位のわずかな変化にも対応し、再現性の高い高精度な治療を可能にします。
他のリニアック(放射線治療装置)と比べ、Radixactは広い照射範囲を一度にカバーできるという利点があります。脊髄全体や広い範囲にわたるリンパ節への照射など、治療範囲が広い場合でも、途切れなく高い精度で治療できます。また、複数の病変が体内の広範囲に散らばっている場合でも、効率的に、かつ同時に高精度な治療計画を立てて実行できる可能性があります。
また、Synchrony(シンクロニー)というシステムを搭載しており、動体追尾照射が可能になりました。

カタリスト(Catalyst)とは、「体表面光学式トラッキングシステム」と呼ばれる、放射線治療をより正確かつ安全に行うための装置です。
特殊なカメラで患者さんの体の表面を立体的にスキャンし、治療中の体の位置や動きをリアルタイムで見守ります。
カタリストは光を使ったカメラ方式のため、追加の放射線を浴びることなく安全に測定できます。
天井にスカイシーリングを備えた開放感ある空間で、安心して治療を受けられます。
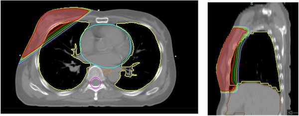
従来、左鎖骨窩のリンパ節と左胸壁に分けて行っていた治療を、つなぎ目なく一度に治療することができるようになりました。
腸管への被ばく線量を低く抑えた治療が行えます。

前立腺と直腸の間にハイドロゲルスペーサーを入れることにより、直腸の被ばく線量を低く抑えた治療が行えます。
※治療の内容によっては、これ以外に処置や検査が必要な場合があります。
① 診察
放射線治療医より、病気の説明とそれに適した放射線治療の説明があります。
② オリエンテーション
治療の同意が得られたのち、放射線治療の専門看護師より、オリエンテーションがあります。
(治療開始までの準備および治療期間中の説明など)
③ 放射線治療計画
放射線技師により、必要に応じた固定具の選定または作成を行い、安定した状態で治療部位のCT撮影を行います。
その後、放射線治療医が治療計画装置にて治療計画を行います。
毎回の治療の前に、治療装置に内蔵されたCTで患者さんの体の位置を確認してから放射線を当てます。そのため、ミリ単位の精度でがんの位置を確認し、ズレなく治療することができます。
※治療は月~金に行い、土日・祝祭日はお休みです。
少なくとも週に1回、放射線治療医による診察を行います。
| 関連情報 | |
|---|---|
| ご予約について | |
| 診療時間・診察担当医表 | 交通のご案内 |
| 採用情報 | お問い合わせ |
